Menü

Hauptmenü

Aktivstes Mitglied
des Tages

Birgitt Ehlers - Sea Spirit

 

➤ Mehr erfahren

Events & Aktionen

Keramikimplantat: Ästhetisch, metallfrei & modern

Sie wünschen sich festen Zahnersatz, der natürlich aussieht und optimal verträglich ist? Ein Keramikimplantat ist die innovative Alternative zu klassischen Titanimplantaten – besonders ästhetisch und biokompatibel.

Ihre Vorteile auf einen Blick:
Metallfrei & besonders gut verträglich
Natürlich weiße Farbe – ideal im Frontzahnbereich
Geringere Plaque-Anhaftung
Langlebig & stabil
Perfekt für hohe ästhetische Ansprüche
Für wen geeignet?

Besonders für Patient mit Metallunverträglichkeit, hohen ästhetischen Ansprüchen oder dem Wunsch nach einer ganzheitlichen, metallfreien Lösung.
In unserer Ordination Dr. Cora Haller-Waschak in Wien-Währing erhalten Sie eine individuelle Beratung, modernste Diagnostik und eine schonende Behandlung – abgestimmt auf Ihre Bedürfnisse.

Jetzt bei unserem neuen Blog reinlesen oder gleich Beratungstermin sichern:


Mehr Informationen unter:
https://www.dieaerztin.at/blog

Zahnfleischbluten: Ursachen & was wirklich hilft

Zahnfleischbluten ist ein häufiges Warnsignal und sollte nicht ignoriert werden. In den meisten Fällen steckt eine Zahnfleischentzündung (Gingivitis) dahinter – verursacht durch bakterielle Beläge (Plaque).

Häufige Ursachen

  • Unzureichende Mundhygiene
  • Zahnstein & Bakterien
  • Zu starkes Zähneputzen
  • Hormonelle Veränderungen
  • Vitaminmangel oder Stress

Wann zum Zahnarzt?

Wenn Zahnfleisch regelmäßig blutet, geschwollen ist oder Mundgeruch auftritt, kann sich bereits eine Parodontitis entwickeln – hier ist eine zahnärztliche Abklärung wichtig.

Was hilft?

  • 2× täglich Zähneputzen (weiche Bürste)
  • Zahnzwischenräume täglich reinigen
  • Antibakterielle Mundspülungen
  • Regelmäßige professionelle Zahnreinigung (PZR)

Tipp: Je früher Sie handeln, desto einfacher lässt sich Zahnfleischbluten stoppen.

Fazit: Zahnfleischbluten ist meist gut behandelbar – mit der richtigen Pflege und regelmäßiger Vorsorge.

Jetzt bei unserem neuen Blog reinlesen oder gleich Beratungstermin sichern:

#Zahnfleischbluten #Zahnfleischentzündung #Parodontitis #DentalHealth #OralCare #GesundesZahnfleisch #ZahnarztTipps #ZahnarztWähring #WienZahnarzt


Mehr Informationen unter:
https://www.dieaerztin.at/blog

Gesunde Zähne beginnt mit einer guten Prophylaxe

Viele Zahnprobleme entstehen schleichend und bleiben lange unbemerkt. Genau deshalb ist die Prophylaxe beim Zahnarzt einer der wichtigsten Bausteine moderner Zahnmedizin.

Regelmäßige Vorsorge schützt vor Karies, Parodontitis und aufwendigen Behandlungen und sorgt zusätzlich langfristig für Ihr natürliches Lächeln.

In unserer Ordination Dr. Cora Haller-Waschak in Wien-Währing steht Prävention im Mittelpunkt. Mit individuell abgestimmten Prophylaxe Programmen unterstützen wir Sie dabei, Ihre Zahngesundheit nachhaltig zu erhalten.

Unsere Prophylaxe Leistungen:
✔ Professionelle Zahnreinigung (PZR)
✔ Individuelle Risikoanalyse & Mundhygieneberatung
✔ Parodontale Vorsorge & Recall-System
✔ Fluoridierung & Versiegelung
✔ Prophylaxe für Kinder, Erwachsene & Senioren

Regelmäßige Vorsorge bedeutet:
• weniger Zahnprobleme
• geringere Behandlungskosten
• frischer Atem & gepflegte Zähne
• mehr Lebensqualität

Vorsorge ist einfacher als Nachsorge! Vereinbaren Sie jetzt Ihren Prophylaxe Termin und investieren Sie in Ihre langfristige Zahngesundheit.

#Prophylaxe #ZahnarztWien #Zahngesundheit #ProfessionelleZahnreinigung #PZR #Mundhygiene #Kariesprävention #DentalCare #GesundeZähne #WienWähring


Mehr Informationen unter:
https://www.dieaerztin.at/blog

Warum Zahngesundheit so wichtig ist

Gesunde Zähne sind entscheidend für Ihre allgemeine Gesundheit und Lebensqualität. Entzündungen im Mund können den gesamten Körper belasten, während Zahnverlust und Zahnfleischerkrankungen das Wohlbefinden deutlich beeinträchtigen. Mit regelmäßiger Zahnpflege, zahngesunder Ernährung und professioneller Vorsorge lassen sich viele Probleme frühzeitig vermeiden.

In unserer Zahnarztpraxis in Wien-Währing bieten wir Ihnen umfassende Vorsorgeuntersuchungen, professionelle Zahnreinigung und individuelle Beratung an.

Die wichtigsten Maßnahmen für gesunde Zähne:
• Zweimal täglich gründlich Zähneputzen mit fluoridhaltiger Zahnpasta
• Tägliche Reinigung der Zahnzwischenräume mit Zahnseide oder Interdentalbürsten
• Zuckerarme und ausgewogene Ernährung
• Regelmäßige zahnärztliche Kontrollen und professionelle Mundhygiene

Bei Zahnunfällen gilt: schnell handeln und Kontakt mit uns aufnehmen. Viele Zähne lassen sich bei rascher Behandlung meistens noch retten.

Jetzt bei unserem neuen Blog reinlesen oder gleich Beratungstermin sichern:


#Zahngesundheit #ZahnarztWien #WienWähring #Prophylaxe #Mundhygiene #Zahnreinigung #ParodontitisVorbeugung #Kariesprävention #GesundeZähne 


Mehr Informationen unter:
https://www.dieaerztin.at/blog

Beyond II Ultra - neues Bleaching bei uns in Währing

Strahlend weiße Zähne in kurzer Zeit?

Wir freuen uns, Ihnen unser neues professionelles In-Office-Bleaching mit dem Beyond II Ultra vorzustellen! 

• Schnell sichtbar: Deutliche Aufhellung oft schon nach einer Sitzung
• Schonend & sicher: Moderne Lichttechnologie mit intelligenter Kühlung
• Komfortabel: Weniger Hitzegefühl, geringere Empfindlichkeit
• Individuell angepasst: Behandlung abgestimmt auf Ihre Zähne

Die Behandlung dauert ca. 45-90 Minuten und erfolgt selbstverständlich unter zahnärztlicher Aufsicht.

Ideal für:
• besondere Anlässe
• ein frischeres, gepflegtes Lächeln
• ästhetische Zahnbehandlungen als Ergänzung

Lassen Sie sich persönlich beraten und wir prüfen, ob Bleaching für Sie überhaupt geeignet ist. Eine fachärztliche Begleitung von der ersten Beratung bis zur Nachsorge ist für uns unerlässlich. 

Für ein Lächeln, das wirkt

Jetzt Beratungstermin vereinbaren und mehr über Beyond II Ultra erfahren!


#inofficebleaching #BeyondUltra #professionellesBleaching #zahnarztbleaching #zahnarztpraxis ##whiteSmile #moderneZahnmedizin #sicheresBleaching #WienWähring #CoraHallerWaschak 


Mehr Informationen unter:
https://www.dieaerztin.at/blog

FROHE WEIHNACHTEN und ein gesundes NEUES JAHR 2026

LIEBE PATIENTEN,

das gesamte Team unserer Ordination wünscht Ihnen und Ihrer Familie ein frohes WEIHNACHTSFEST, erholsame FEIERTAGE und viel Gesundheit im NEUEN JAHR!

Wir sind vom 23.12.2025 bis 04.01.2026 im Urlaub.

Nächste Ordination am Montag, den 05.01.2026 ab 08:00 Uhr

Weihnachtliche Grüße
Dr. Cora Haller-Waschak & Team

#xmas #weihnachten2026 #frohesfest #auszeit #gutenrutsch #währing #zahnärztin #wien #dieaerztin #feiertage #weihnachtsfest #ruhetage #ordination #jahreswechsel #onlinetermin #neuesjahr #wirliebenwaswirtun #zahnarztwien 


Mehr Informationen unter:
https://www.dieaerztin.at

Veneers für Ihr Hollywood Smile in Wien

Veneers sind hauchdünne Keramikschalen, die auf die natürlichen Zähne aufgebracht werden, um deren Form, Farbe und Ästhetik zu verbessern. Sie ermöglichen eine präzise Korrektur von Verfärbungen, kleinen Fehlstellungen oder abgebrochenen Zahnkanten – für ein strahlendes und harmonisches Lächeln, das an ein Hollywood Smile erinnert, aber natürlich zu Ihrem Gesicht passt.

Die Behandlung ist minimalinvasiv und schont die Zahnsubstanz. Hochwertige Keramik sorgt für Langlebigkeit, Stabilität und eine natürliche Lichtreflexion – kaum von echten Zähnen zu unterscheiden.

In unserer Ordination in Wien-Währing setzen wir auf moderne Technologie, individuelle Planung und höchste Präzision, um ästhetische und medizinisch überzeugende Ergebnisse zu erzielen.

Jetzt Beratungstermin vereinbaren und mehr über Veneers & den Weg zu Ihrem Hollywood Smile erfahren!

#Veneers #HollywoodSmile #SmileMakeover #AestheticDentistry #Zahnästhetik #ZahnarztWien #Keramikveneers #NaturalSmile #ZahnmedizinWien #WienWähring #CoraHallerWaschak 


Mehr Informationen unter:
https://www.dieaerztin.at/blog

Unsichtbare Zahnkorrekturen „Invisalign im Faktencheck“

Rund um Invisalign und andere Aligner-Systeme ranken sich viele Mythen und Heilversprechen.
Doch was stimmt wirklich? 

„Gerade Zähne in nur wenigen Monaten“
„Ganz ohne Schmerzen“
„Kein Zahnarztbesuch nötig“
„Völlig unsichtbar“
Klingt verlockend – ist aber oft zu schön, um wahr zu sein.

Hier sind die 4 größten Mythen über unsichtbare Zahnspangen – und was wirklich dahintersteckt.

1️⃣ „Invisalign funktioniert bei jedem gleich gut.“
❌ Falsch. Nicht jede Fehlstellung lässt sich mit Alignern korrigieren. Bei komplexeren Fällen hilft die klassische Kieferorthopädie besser.

2️⃣ „Die Schienen sind völlig unsichtbar.“
⚠️ Fast – aber nicht ganz. Je nach Licht oder mit kleinen Aufsätzen (Attachments) sind sie sichtbar.

3️⃣ „Invisalign tut gar nicht weh.“
Auch hier spürt man Druck, wenn sich die Zähne bewegen – ein Zeichen, dass sich etwas tut.

4️⃣ „Man braucht keine Zahnarzttermine.“
Ganz falsch! Ohne regelmäßige Kontrollen kann die Behandlung mehr schaden als nützen.

✨ Fazit:
Aligner-Systeme wie Invisalign sind modern und effektiv – aber keine Wundermittel.
Wir beraten Sie ehrlich, individuell und persönlich in unserer Ordination in Wien.
Keine leeren Versprechen, sondern Ihr persönlicher Weg zum schönsten Lächeln. 

Jetzt reinlesen oder gleich Beratungstermin sichern


#Invisalign #Aligner #Zahnkorrektur #ZahnarztWien #UnsichtbareZahnspange #SmileDesign #Kieferorthopädie #Wien


Mehr Informationen unter:
https://www.dieaerztin.at/blog

Dentalphobie: So helfen wir Angstpatienten

Die Angst vor dem Zahnarzt ist weit verbreitet und oft stärker, als viele glauben. Wer unter Dentalphobie leidet, meidet häufig über Jahre hinweg jede Behandlung. Das Ergebnis: Zahnschmerzen, Unsicherheit und ein Kreislauf aus Angst und Vermeidung.

Genau hier setzen wir an. Unsere Ordination hat sich auf Angstpatienten spezialisiert. Wir wissen: Der erste Schritt fällt meist am schwersten. Deshalb nehmen wir uns besonders viel Zeit für Sie und gehen jeden Behandlungsschritt in Ruhe durch.

Was Sie bei uns erwartet:
✔️ Eine Atmosphäre, in der Sie sich sicher fühlen dürfen
✔️ Einfühlsame Gespräche, in denen wir Ihre Sorgen ernst nehmen
✔️ Die Möglichkeit, Pausen einzulegen oder ein Signal zu geben
✔️ Verständliche Erklärungen, bevor überhaupt behandelt wird

Sie behalten bei uns jederzeit die Kontrolle und entscheiden selbst, wie weit wir gehen. So entsteht Vertrauen, und genau das ist die Grundlage, um Ihre Angst "Schritt für Schritt" zu überwinden.

Wir möchten, dass Sie wieder mit einem guten Gefühl zum Zahnarzt gehen können. Trauen Sie sich – wir begleiten Sie auf diesem Weg.

Jetzt reinlesen & Ihre Angst überwinden!


#Dentalphobie #Zahnarztangst #Angstfrei #Angstpatient #Einfühlsam #GesundeZähne #Angstüberwinden #Währing

Zahnmythen unter der Lupe – was stimmt wirklich?

Rund ums Zähneputzen und die Zahngesundheit halten sich viele Behauptungen hartnäckig. Doch nicht alles, was wir schon mal gehört haben, stimmt auch!


Mythos 1: Zucker ist der Hauptverursacher von Karies
➡️ Falsch! Entscheidend ist nicht nur der Zucker, sondern auch die Häufigkeit, wie oft er im Mund bleibt.

Mythos 2: Wer eine gute Zahnbürste hat, braucht keine Zahnseide
➡️ Irrtum – Zahnseide erreicht Stellen, die keine Bürste schafft.

Mythos 3: Weiße Zähne = gesunde Zähne
➡️ Die Farbe sagt nichts über die Gesundheit aus.

Mythos 4: Schwangere sollten nicht zum Zahnarzt
➡️ Genau das Gegenteil: Vorsorge ist in dieser Zeit besonders wichtig.

Mythos 5: Milchzähne müssen nicht behandelt werden
➡️ Auch sie brauchen Pflege – sie sind wichtig für die Entwicklung der bleibenden Zähne.

Mythos 6: Zahnschmelz regeneriert sich von selbst
➡️ Einmal verloren, ist er weg – deshalb ist Vorbeugung entscheidend.

Mythos 7: Direkt nach dem Essen ist Zähneputzen am Besten
➡️ Lieber kurz warten – sonst schadet man dem Zahnschmelz.

Welche Mythen kennen Sie noch?
Lesen Sie in unserem Blog alle Fakten und trennen Sie gemeinsam mit uns Wahrheit von Irrtum:

#Zahngesundheit #Zahnmythen #GesundeZähne #Zahnwissen #SmileFacts #währing


Mehr Informationen unter:
https://www.dieaerztin.at/blog

Fatique? Der wahre Grund könnte in Ihrem Mund liegen!

Sie sind ständig müde – trotz ausreichend Schlaf?
Fühlen Sie sich ausgelaugt, antriebslos, gereizt?

Die Ursache könnte dort liegen, wo Sie sie nicht vermuten würden: In Ihrer Mundgesundheit!
Chronische Entzündungen im Mundraum zählen zu den häufig übersehenen Energiefressern. Ihr Immunsystem arbeitet auf Hochtouren – und Sie spüren die Erschöpfung als sogenannte Fatigue.

In unserem neuen Blogbeitrag erfahren Sie:

Wie stille Entzündungen Ihre Energie rauben.
Warum Ihre Zahngesundheit entscheidend für Ihr Wohlbefinden ist.
Was Sie konkret tun können, um wieder mehr Energie zu gewinnen.

Jetzt reinlesen & neue Kraft schöpfen!

#Fatigue #Müdigkeit #NeuerBlog #GesundheitBeginntImMund #OrdinationWien 


Mehr Informationen unter:
https://www.dieaerztin.at/blog

 Wechseljahre im Mund: MENOPAUSE was NUN!

In den Wechseljahren, dem Klimakterium, haben viele Frauen mit tiefgreifenden körperlichen und hormonellen Veränderungen zu kämpfen. Typische Beispiele sind HitzewallungenSchlafstörungen und Stimmungsschwankungen.

Doch ein Bereich bleibt oft unbeachtet: der Mundraum. Denn auch hier können sich hormonelle Schwankungen zeigen – mit spürbaren Auswirkungen auf Zähne, Zahnfleisch und Schleimhäute. Der Begriff „Wechseljahre im Mund“ beschreibt eine Reihe typischer Beschwerden, die Frauen in dieser Lebensphase betreffen können.

In unserem neuen BLOG-Beitrag erfahren Sie, wie sich die Wechseljahre auf Ihre Mundgesundheit auswirken können, welche Symptome typisch sind, was Sie aktiv tun können, um Ihre Zähne und Ihr Zahnfleisch auch in dieser Lebensphase gesund zu erhalten.

Folgen Sie unserem Blog und bleiben Sie immer up-to-date!
????

#newblog #menopause #wechseljahre #zahngesundheit #ordination #wien #währing


Mehr Informationen unter:
https://www.dieaerztin.at/blog

Keramikimplantate die metallfreie Lösung!

Wenn Zähne ersetzt werden müssen, ist die Wahl des richtigen Implantates entscheidend.

In unserer Ordination in Wien setzen wir auf moderne Implantatlösungen, insbesondere auf hochwertige Keramikimplantate, die sowohl ästhetisch als auch gesundheitlich überzeugen.

Keramikimplantate bringen zahlreiche Vorteile mit sich:

Das Material ist biokompatibel, gewebefreundlich, allergieneutral und kaum von einem natürlichen Zahn zu unterscheiden.

Für Menschen mit Metallunverträglichkeiten oder einem ganzheitlich orientierten Lebensstil ist dies die perfekte Wahl.

Als erfahrene Implantologin kombiniere ich medizinisches Fachwissen mit einem ganzheitlichen Blick auf Ihre Zahngesundheit und gemeinsam mit Ihnen entwickeln wir eine individuelle, schonende Lösung für Ihr schönstes Lächeln - ganz ohne Metall!

Folgen Sie unserem Blog und bleiben Sie immer up-to-date!



Mehr Informationen unter:
https://www.dieaerztin.at/blog

WIR SIND KURZ MAL WEG auf Fortbildung für Ihre Gesundheit!

Wir gehen auf Wissensreise - zum BLUE SEA CAMLOG KONGRESS 2025

Damit wir Ihnen auch weiterhin die neuesten Keramikimplantate und topmoderne Zahnmedizin bieten können, ist unsere Ordination von Montag, den 28. April bis Mittwoch, den 30. April 2025 nur teilweise besetzt.

Vielen Dank für Ihr Verständnis - wir bringen spannende neue Perspektiven und innovative Ideen aus den verschiedenen Bereichen der dentalen Implantologie mit, die Sie nicht verpassen sollten.

Termine für Ordination und Mundhygiene können trotzdem entgegengenommen werden!

Nächste Ordination am Montag, den 05. Mai 2025 ab 08:00 Uhr

#ZahnarztOnTour #CamlogKongress #Keramikimplantate #SmileUpgrade #wirbildenunsweiter #technischerfortschritt #währing

????
Mehr Infos unter:


Mehr Informationen unter:
https://www.dieaerztin.at

Sterilisationsraum - maximale Hygiene für Ihre Gesundheit!

In unserer Ordination legen wir besonders großen Wert auf maximale Praxishygiene und eine lückenlose Sterilisationskette. Dadurch können wir eine sterile Umgebung für jede Behandlung sicherstellen und unseren Patienten eine vertrauensvolle und sichere Atmosphäre bieten.

Doch was macht einen optimal ausgestatteten Sterilisationsraum aus?
Welche Abläufe sind notwendig, um maximale Hygiene zu gewährleisten?

In unserem Blog erfahren Sie alles Wichtige rund um die professionelle Instrumentenaufbereitung in der modernen Zahnmedizin.

Folgen Sie unserem Blog und bleiben Sie immer up-to-date!

#blog #gesundheit #praxishygiene #ordination #wien #währing


Mehr Informationen unter:
https://www.dieaerztin.at/blog

Strahlend weiße Zähne - Wunsch oder Wirklichkeit?

Man sieht sie überall: Perfekte weiße Zähne, die ein Lächeln noch strahlender machen. Doch ist das nur Stars, Influencern und KI-Models vorbehalten? Ganz und gar nicht!
Strahlend weiße Zähne in kürzester Zeit!

Wenn Sie sich schon immer perfekt weiße Zähne und ein strahlendes Lächeln gewünscht haben, ist ein schonendes und nachhaltiges "Bleaching" die Lösung!

Folgende Unschönheiten können beseitigt werden:
  • Verfärbungen durch Lebensmittel und Getränke
  • Nikotinablagerungen
  • Altersbedingte Zahnverdunkelung
  • Verfärbungen durch Medikamente oder Krankheiten
  • Ungleichmäßige Zahnfarbe


Und das Beste? Die Behandlung ist schonend und wird individuell an die natürliche Zahnfarbe angepasst, sodass das Ergebnis harmonisch und natürlich wirkt.

Strahlen Sie mit der Frühlingssonne um die Wette mit einem strahlend weißen Lächeln und neuem Selbstbewusstsein.

Jetzt Termin vereinbaren!

#zahnbleaching #weißezähne #strahlendeslächeln


Mehr Informationen unter:
https://www.dieaerztin.at/kosmetische-zahnheilkunde

Frühlingsgefühle für Ihr Lächeln - schönere Zähne in kürzester Zeit!

Die ersten warmen Sonnenstrahlen, blühende Blumen und frische Energie in der Luft - der Frühling steht für Neuanfang und Veränderung. Doch was ist mit Ihrem Lächeln?

Makellose Zähne in nur wenigen Schritten!

Wenn Sie sich schon immer ein perfektes und ebenmäßiges Lächeln gewünscht haben, sind "Veneers" die Lösung!

Folgende Unschönheiten können beseitigt werden:
  • Verfärbungen und hartnäckige Flecken
  • Abgenutzte oder abgeschliffene Zähne
  • Kleine Zahnlücken (Diastema)
  • Unregelmäßige oder asymmetrische Zahnformen
  • Risse und leichte Frakturen
  • Schiefe oder gedrehte Zähne (leichte Fehlstellungen)
  • Oberflächenunregelmäßigkeiten

Und das Beste? Die Behandlung ist schonend, schmerzfrei und sorgt für eine natürliche Wirkung.

Starten Sie jetzt in den Frühling mit mehr Selbstbewusstsein und einem perfekten Lächeln.

Jetzt Termin vereinbaren!


Mehr Informationen unter:
https://www.dieaerztin.at/kosmetische-zahnheilkunde

Zahnimplantat Schmerzen – Was Sie wissen sollten!

Viele Menschen haben Angst vor Schmerzen beim Setzen eines Zahnimplantats. Doch die gute Nachricht ist: Dank moderner Technik und schonender Methoden ist der Eingriff in den meisten Fällen kaum spürbar. Während der Behandlung sorgt eine lokale Betäubung dafür, dass Sie keine Schmerzen haben. Falls gewünscht, kann auch eine Sedierung oder ein Dämmerschlaf genutzt werden. 


Nach dem Eingriff kann es zu einem leichten Druckgefühl oder Schwellungen kommen, ähnlich wie nach einer Zahnextraktion. Diese Beschwerden sind jedoch gut mit Schmerzmitteln und Kühlung in den Griff zu bekommen und klingen meist nach wenigen Tagen ab. Wichtig ist, sich in den ersten Tagen zu schonen, auf harte Speisen zu verzichten und die Wunde nicht unnötig zu belasten. 

Unser Ziel ist es, den Eingriff so angenehm wie möglich zu gestalten. Wenn Sie sich unsicher sind oder Fragen zu Schmerzen bei einem Zahnimplantat haben, beraten wir Sie gerne persönlich. 

Vereinbaren Sie jetzt einen Termin und lassen Sie sich entspannt und professionell behandeln! 


Mehr Informationen unter:
https://www.dieaerztin.at/zahnimplantate-wien

Barrierefreiheit ohne Kompromisse!

Für Menschen mit besonderen Bedürfnissen stellt der Zahnarztbesuch oft eine große Herausforderung dar.

In unserer Ordination legen wir großen Wert auf barrierefreie Zugänge. Unsere Praxis ist ohne Stufen oder Schwellen erreichbar, sodass Rollstuhlfahrer, Personen mit Rollatoren oder Eltern mit Kinderwagen ohne Probleme hereinkommen können. Breite Türen und großzügige Eingangsbereiche erleichtern das Manövrieren und sorgen für einen reibungslosen Zugang zu allen Räumen.

Therapiehunde und Begleitpersonen dürfen selbstverständlich in die Behandlungsräume mitgebracht werden, um unseren Patienten in herausfordernden Momenten beizustehen.

Für mehr Informationen folgen Sie unserem Blog und bleiben Sie immer up-to-date!

#blog #barrierefrei #therapiehunde #rollstuhlgerecht #begleitpersonen #dentophobie #menschenmitbehinderung #mundhygiene #onlineterminvereinbarung #röntgentechnologie #zahnersatz #zahnimplantate #zahnsanierung #ordination #dieaerztin #wien #währing #corahallerwaschak


Mehr Informationen unter:
https://www.dieaerztin.at/blog

WIR sind auf FORTBILDUNG

Damit wir für unsere Patienten immer auf dem neuesten Stand der Technik sind und wir weitere innovative Produkte und Dienstleistungen anbieten können, ist unsere Ordination von Montag, den 03. bis Donnerstag, den 06. Februar 2025 wegen einer Fortbildungsveranstaltung auf der "AEEDC Dubai - der größten jährlichen wissenschaftlich zahnmedizinischen Konferenz und Ausstellung der Welt" nur teilweise besetzt.

Termine für Mundhygiene können trotzdem entgegengenommen werden:

Montag bis Mittwoch von 08:00 bis 12:00 Uhr und 13:00 bis 18:00 Uhr
Donnerstag von 08:00 bis 12:00 Uhr und 13:00 bis 16:00 Uhr
Freitag von 13:00 bis 18:00 Uhr

Nächste Ordination am Montag, den 10. Februar 2025 ab 08:00 Uhr


Hashtagfortbildung Hashtagfortbildungsveranstaltung Hashtagaeedc Hashtagdubai Hashtagwirbildenunsweiter Hashtagneuetechniken Hashtagtechnischerfortschritt Hashtaginnovativeprodukte Hashtaginnovativedienstleistungen Hashtaginnovationen Hashtagordination Hashtagzahnarztpraxis Hashtagnotdienst Hashtagzahnärztin Hashtagzahnarzt Hashtagcorahallerwaschak Hashtagdieaerztin Hashtagwien Hashtagwähring


Mehr Informationen unter:
https://www.dieaerztin.at

FROHE WEIHNACHTEN und ein gesundes NEUES JAHR 2025

LIEBE PATIENTEN,
das gesamte Team unserer Ordination wünscht Ihnen und Ihrer Familie ein frohes WEIHNACHTSFEST, erholsame FEIERTAGE und viel Gesundheit im NEUEN JAHR!

Wir sind vom 23.12.2024 bis 02.01.2025 im Urlaub.

Nächste Ordination am Dienstag, den 07.01.2025 ab 08:00 Uhr.


Weihnachtliche Grüße
Dr. Cora Haller-Waschak & Team



Mehr Informationen unter:
https://www.dieaerztin.at

Zahnschmerzen stressfrei behandeln: mit modernen Narkoseverfahren

Zahnschmerzen können das Leben stark beeinträchtigen - doch viele Menschen leiden bei Zahnschmerzen nicht nur unter dem Schmerz selbst, sondern auch unter der Nervosität vor dem bevorstehenden Zahnarztbesuch.

Häufig kommt es aufgrund der Angst vor der Behandlung zu einer Verzögerung notwendiger Zahnarztbesuche und die Schmerzen werden in der Folge immer schlimmer.

In unserer Ordination sind Sie auch als Angstpatient sehr gut aufgehoben. Wir kümmern uns einfühlsam um Sie und bieten selbstverständlich moderne Narkoseverfahren und die Dämmerschlaf-Methode an.
Nehmen Sie gern dazu mit uns Kontakt auf und schildern Sie uns Ihre Bedenken. Auch bei Fragen zu anderen Leistungen können Sie uns gerne schreiben oder uns anrufen unter +43 (0) 1 406 82 98.

Wir helfen Ihnen gern weiter!

Auf unserem Blog möchten wir über die Themen Zahnschmerzen und Zahnarztangst einen Überblick geben und Ihnen im Zuge dessen moderne Narkose-Methoden vorstellen, welche die Zahnarztbehandlung stress- und schmerzfrei machen.



Mehr Informationen unter:
https://www.dieaerztin.at/blog

Ein neuer spannender BLOG - Artikel wartet auf Sie!

Parodontitis – von der Zahnfleischentzündung zur Zahnbettentzündung

Wir wünschen uns alle gesunde und schöne Zähne, die idealerweise ein Leben lang erhalten bleiben. Doch manchmal kommt es zu Erkrankungen, die zu Zahnverlust führen können, wie beispielsweise die weit verbreitete Parodontitis.

Wenn die Parodontitis nicht rechtzeitig behandelt wird, kann sie zu schwerwiegenden Komplikationen führen.
Erfahren Sie alles Wichtige über die Entstehung, die Diagnose und die Behandlung von Parodontitis.

Wenn Sie weitere Fragen zu diesem Thema haben, nehmen Sie gerne mit uns Kontakt auf.


Mehr Informationen unter:
https://www.dieaerztin.at/blog

Wie hängen Stress und Zahnverlust zusammen?

Stress und Zahnverlust sind auf verschiedene Weise miteinander verbunden. Leidet man unter chronischem Stress, kann das eine Reihe von negativen Auswirkungen auf die Zahngesundheit haben und somit das Risiko für Zahnverlust erhöhen.

Welche stressbedingten Mechanismen die Zahngesundheit beeinträchtigen können, lesen Sie in unserem NEUEN Blogbeitrag.

Auf unserem Blog erwarten Sie weitere spannende Themen und viel Wissenswertes aus der Zahn-, Mund- und Kieferheilkunde.


Mehr Informationen unter:
https://www.dieaerztin.at/blog

Bewertung von D. F.

Zunächst war ich bei der Mundhygiene, die top war. So toll habe ich das noch nicht erlebt, das Sandstrahlen der Zähne, mit Tuch über dem Gesicht, und das saubere Gefühl im Mund ist wunderbar. Die geschulte ProphylaxeassistentIn hat eine kleine Stelle an der Front gesehen, die eine Füllung braucht, und drei Wochen später gleich einen Termin bei Frau Doktor. Das hochmoderne Röntgengerät drehte sich einmal und fertig. Die Füllung war rasch erledigt. Auch die Assistentin war sehr freundlich und bemüht. Darüber hinaus herrschte eine ruhige und angenehme Atmosphäre. Die nächste Kontrolle ist dann wieder bei der Mundhygiene. Ein gutes Konzept.

Wir bedanken uns ganz herzlich bei Herrn F. für das Vertrauen und die positive und motivierende Bewertung auf Google und werden weiterhin unser BESTES geben!


Mehr Informationen unter:
https://www.dieaerztin.at

Wir empfehlen einen Besuch auf unserem BLOG

Entdecken Sie neue und spannende Themen sowie wertvolle Einblicke aus dem Bereich der Zahn-, Mund- und Kieferheilkunde.

Folgen Sie dem Link zu unserem Blog und bleiben Sie immer up-to-date.

#blog #blogbeiträge #wichtigesthema #news #wissenswertes #ordination #infos #währing #zahnärztin #dieaerztin #uptodate #wien #kieferorthopädie #zahnspange#mundhygiene #zahnersatz #corahallerwaschak #GesundeZähne


Mehr Informationen unter:
https://www.dieaerztin.at/blog

Bewertung von E. P.

Vielen Dank für die großartige Arbeit, die Sie bei der Sanierung der Zähne meiner 90-jährigen Mutter geleistet haben. Vielen Dank auch an das Team für die perfekte Organisation. Wir hatten großes Glück Sie zu finden. Damit kann ich hier nur noch eine vorbehaltlose Empfehlung aussprechen.

Wir bedanken uns ganz herzlich bei Frau P. für das Vertrauen und die positive und motivierende Bewertung auf Google und werden weiterhin unser BESTES geben!


#bewertungen #rezensionen #googlebewertung #hausbesuch #zufriedenepatienten #motivation #mundhygiene #prophylaxe #zahnsanierung #implantate #gesundezähne #schönezähne #ordination #zahnarztpraxis #zahnärztin #corahallerwaschak #wien #währing


Mehr Informationen unter:
https://www.dieaerztin.at

Amalgamfüllung ab 2025 verboten! Das müssen Sie jetzt wissen!

Es war in sämtlichen Nachrichten: Die Amalgamfüllung ist ab 2025 verboten. Bislang war das quecksilberhaltige Amalgam als Füllung nur bei schwangeren und stillenden Frauen sowie bei Kindern unter 15 Jahren untersagt, doch ab dem 1. Januar 2025 soll das Verbot mit wenigen Ausnahmen auf alle Patienten in der EU ausgeweitet werden. Dabei betrifft das Verbot nur neue Füllungen. Bestehende Amalgam-Füllungen können je nach Wunsch des Patienten erhalten bleiben. 

Warum ist Amalgam als Füllmaterial so umstritten?

Amalgam spielte über 100 Jahre eine bedeutende Rolle als Füllungsmaterial für kariöse Zähne. Die lange Haltbarkeit, seine kostengünstige Herstellung und seine Robustheit machten die Legierung zum meist verbreiteten Füllungsmaterial in der Zahnmedizin. Es dringt in die kleinsten Fugen ein und schließt die Füllung sehr dicht ab. Also eigentlich das perfekte Material, um Löcher zu stopfen, oder? 

Sie fragen sich sicher - aus was besteht Amalgam eigentlich?

Amalgam besteht aus einer Legierung von Quecksilber mit Silber, Kupfer, Zinn und weiteren Metallen. Bei der Herstellung wird das Legierungspulver, das aus den fein vermahlenen Metallen besteht, zu gleichen Teilen mit elementarem Quecksilber gemischt. Das heißt: Das fertige Amalgam besteht also zu 50 Prozent aus Quecksilber – einem hochgradig giftigen Schwermetall. 

Das giftige Quecksilber stellt nicht nur für Patienten, sondern auch für den Zahnarzt und das zahnmedizinische Personal ein gesundheitliches Risiko dar. Vor allem beim Einbringen und Entfernen von Amalgamfüllungen entstehen giftige Quecksilberdämpfe. 

Sie haben eine Amalgamfüllung und sind sich unsicher? 

Nehmen Sie gern mit uns Kontakt auf, um Ihr Anliegen zu besprechen oder vereinbaren Sie einen Termin für ein Erstgespräch. 

Gemeinsam nehmen wir Ihre Zahnfüllung unter die Lupe und entscheiden die weitere Vorgehensweise zugunsten Ihrer Gesundheit. Zum Glück gibt es bereits perfekte Alternativen zu Amalgam, die Sie nutzen können. 

#amalgamverbot #amalgam #neuefüllung #zahnmedizin #zahnersatz #quecksilber #zahnimplantat #glücklicherpatient #schönezähne #prothetik #zahnsanierung #kieferorthopädie #zahnunfall #abgebrochenerzahn #zahnlücke #ordination #zahnarzt #corahallerwaschak #wien #währing


Mehr Informationen unter:
https://www.dieaerztin.at/wichtige-infos

Sie wünschen sich optimalen Schutz für Ihre Zähne? Dann zögern Sie nicht und vereinbaren noch Heute einen Termin bei unserer Mundhygiene-Assistentin Sara

NEU: Zusätzliche Termine für Mundhygiene

Dienstag von 08:00 bis 18:00 Uhr
Freitag von 08:00 bis 18:00 Uhr

Buchen Sie einfach und bequem "ONLINE" Ihren Wunschtermin:


#mundhygiene #prophylaxe #optimalerzahnschutz #zahnreinigung #plaque #karies #mundhygieneassistentin #parodontitis #gesundezähne #schönezähne #lebenslangerzahnerhalt #ordination #zahnarztpraxis #neueöffnungszeiten #zahnärztin #corahallerwaschak #wien #währing


Mehr Informationen unter:
https://www.dieaerztin.at/online-terminvereinbarung

Mundhygiene ist nicht nur Zahnpflege!

Es freut uns sehr, ab dem 09.01.2024 an zwei weiteren Tagen (Dienstag und Freitag) unsere neue Mundhygiene-Assistentin "Sara Ilievska" in unserer Ordination begrüßen zu dürfen.

Gerne können Sie hierfür bereits ONLINE einen Termin vereinbaren.

#mundhygiene #prophylaxe #optimalerzahnschutz #zahnreinigung #plaque #karies #mundhygieneassistentin #parodontitis #gesundezähne #schönezähne #lebenslangerzahnerhalt #ordination #zahnarztpraxis #neueöffnungszeiten #zahnärztin #corahallerwaschak #wien #währing


Mehr Informationen unter:
https://www.dieaerztin.at/mundhygiene

Bewertungen lassen unser Herz höher schlagen!

Eine gute Mundhygiene ist entscheidend, um Zähne und den gesamten Mundraum in einem gesunden Zustand zu halten.

Wir bedanken uns ganz herzlich für das Vertrauen und die positive und motivierende Bewertung auf Doctify und werden weiterhin unser BESTES geben!


#bewertungen #rezensionen #reputation #doctify #zufriedenepatienten #vertrauen #mundhygiene #prophylaxe #optimalerzahnschutz #zahnreinigung #inlay #onlay #gesundezähne #schönezähne #lebenslangerzahnerhalt #ordination #zahnarztpraxis #zahnarzt #zahnärztin #corahallerwaschak #wien #währing


Mehr Informationen unter:
https://www.dieaerztin.at/mundhygiene

Haben Sie schon mal auf unserem BLOG vorbeigeschaut? Informieren Sie sich!

Auf unserem Blog erwarten Sie spannende Themen und viel Wissenswertes aus der Zahn-, Mund- und Kieferheilkunde.

#blog #blogbeiträge #wichtigesthema #news #wissenswertes  #ordination #infos #währing #zahnärztin #dieaerztin #früherundheute #wien #kieferorthopädie #mundhygiene #zahnersatz #corahallerwaschak #GesundeZähne 


Mehr Informationen unter:
https://www.dieaerztin.at/blog

Motivation des Tages!

Wir bedanken uns ganz herzlich für das Vertrauen und die positive und motivierende Bewertung auf Doctify - wir werden weiterhin unser BESTES geben!


Schieben Sie also Ihren Besuch beim Zahnarzt nicht auf, sondern überwinden Sie mit uns Ihre Dentalphobie - zum Wohl Ihrer Zähne und Ihrer Gesundheit.



#bewertungen #rezensionen #reputation #doctify #implantologie #implantatsetzen #karies #angstpatienten #zufriedenepatienten #vertrauen #angstfrei #schmerzfrei #ordination #zahnarztpraxis #zahnarzt #zahnärztin #corahallerwaschak #wien #währing


Mehr Informationen unter:
https://www.dieaerztin.at/zahnimplantate-wien

DANKE für diese tolle Bewertung!

Durch unsere über 30-jährige Erfahrung, Fachkompetenz, Einfühlungsvermögen, der Nutzung von modernsten Techniken und einer speziell abgestimmten Behandlung konnten wir schon vielen Patienten zu einem neuen Lebensgefühl verhelfen und deren Dentophobie beseitigen.

Wir bedanken uns ganz herzlich für das Vertrauen und die positive und motivierende Bewertung auf Doctify - wir werden weiterhin unser BESTES geben!

#bewertungen #rezensionen #reputation #doctify #akuteschmerzen #cereczahnersatz #glücklichepatienten #anstpatienten #zufriedenepatienten #vertrauen #angstfrei #schmerzfrei #ordination #zahnarztpraxis #zahnarzt #zahnärztin #corahallerwaschak #wien #währing


Mehr Informationen unter:
https://www.dieaerztin.at

"BELIEBTER ZAHNARZT 2023" von IMWF Austria und dem KURIER

Wir sind sehr stolz darauf seit 4 Jahren in Folge uns wieder zu den "beliebtesten Zahnärzten in Österreich" zählen zu dürfen.

Diese herausragende Leistung in den erforderlichen Kriterien "Bewertungen und Patientenmeinungen aus Online-Bewertungs- und Internetquellen" sowie unser Engagement für unsere Patienten, wurde mit dem Siegel "BELIEBTER ZAHNARZT 2023" ausgezeichnet.

#auszeichnung #imwfaustria #kurier #bewertungen #patientenmeinungen #beliebtestezahnärzteösterreich #engagement #beliebterzahnarzt2023 #studie #ordination #zahnarztpraxis  #zahnarzt #zahnärztin #corahallerwaschak #wien #währing


Mehr Informationen unter:
https://www.dieaerztin.at/auszeichnungen

Bewertungen sind unsere Motivation!

Seit 1991 setzen wir ALLES daran, glückliche und zufriedene Patientinnen und Patienten in unserer Ordination in Wien-Währing zu haben und die Behandlung von "groß und klein" so angenehm, schmerz- und angstfrei wie möglich zu gestalten. Dank dieser Philosophie schenkten uns bis heute über 1.500 Patientinnen und Patienten aus Wien und Umgebung ihr Vertrauen.

Wir bedanken uns ganz herzlich für Ihr Vertrauen und die vielen positiven und motivierenden Bewertungen auf Google, Doctify, ProvenExpert, DocFinder und Facebook und werden weiterhin unser BESTES geben!



Mehr Informationen unter:
https://www.dieaerztin.at

Ihr Zahnarzt auf Rädern in Wien

Viele ältere und pflegebedürftige Menschen sind oft nicht in der Lage, eine Zahnarztpraxis aufzusuchen, daher bieten wir bei akuten Zahnproblemen rasche und flexible Hilfe in Form von Hausbesuchen an. Zudem führen wir auch Visiten in Pensionistenheimen und Krankenhäusern durch.

Nutzen Sie das Angebot unserer “Praxis auf Rädern”.

Älteren Patienten ist es wichtig, sich auf eine rasche und flexible Behandlung bei akuten Problemen mit Prothesen oder bei Schmerzen verlassen zu können.

Das können wir vor Ort für Sie tun:

• Regelmäßige Kontrolle der Zähne und Prothesen
• Zahnfleischbehandlungen
• Erstellung von neuem Zahnersatz
• Unterfütterungen der Prothesen

Ein Hausbesuch wird von den Krankenkassen oder privaten Versicherungen getragen.

Rufen sie uns an und vereinbaren Sie einen individuellen Termin für einen Hausbesuch!


#hausbesuch #zahnarzthausbesuch #pflegebedürftig #lebensqualität #zahnprobleme #hilfe #visite #pensionistenheime #krankenhäuser #praxisaufrädern #älterepatienten #senioren #akuteprobleme #prothesen #zahnschmerzen #ordination #zahnarztpraxis #zahnarztaufrädern #corahallerwaschak #wien #währing


Mehr Informationen unter:
https://www.dieaerztin.at/hausbesuche

Hält das Sofortimplantat, was der Name verspricht?

Sie sind eine Sekunde unaufmerksam und schon ist es passiert: Durch einen Unfall oder einen abgebrochenen Zahn oder Zähne klafft eine unschöne Lücke im Frontbereich Ihres Mundraumes. Ein Zahnersatz (z.B. ein Sofortimplantat) wird schnellstmöglich benötigt, damit Ihr Lächeln wieder einwandfrei und selbstbewusst erstrahlen kann.

Oftmals ist ein Implantat dafür die optimale Lösung, doch hierfür stehen mehrere OPs am Kiefer an und die Wundheilung und Einheilung der Implantate nehmen viel Zeit in Anspruch. Sie müssen hier nicht unbedingt auf ein klassisches Implantat zurückgreifen - ein Sofortimplantat bietet Ihnen hier die komfortable Lösung an.

Doch viele Patienten wissen noch nicht viel über die Behandlung mit einem Sofortimplantat. Deshalb machen wir für Sie den Faktencheck und überprüfen, ob das Sofortimplantat das verspricht, was uns der Name bereits ankündigt.

#sofortimplantat #zahnersatz #implantat #zahn #zahnimplantat #faktencheck #zahnmedizin #schönezähne #prothetik #zahnsanierung #kieferorthopädie #zahnunfall #abgebrochenerzahn #zahnlücke #ordination #zahnarztpraxis #zahnarzt #corahallerwaschak #wien #wienwähring #währing


Mehr Informationen unter:
https://www.dieaerztin.at/haelt-das-sofortimplantat-was-der-name-verspricht-der-faktencheck/

Das 3D-High-End-System für zukunftsorientiertes Röntgen

Mit unserem 3D-Röntgensystem "Orthophos SL 3D" (Digitaler Volumentomograph - DVT) sind wir auf unterschiedlichste Behandlungssituationen bestens vorbereitet.

Dank innovativem DCS-Sensor mit Autofokus-Funktion und SL 3D-Technologie deckt der "Orthophos SL 3D" selbst höchste Ansprüche an die 3D-Bildqualität ab und liefert Panoramaaufnahmen in unvergleichlicher Zeichenschärfe.

Patienten schätzen besonders das beruhigende Ambient Light, das mit einer Auswahl an über 30 Farben für eine angenehme Atmosphäre in unserem Röntgenraum sorgt und sich optimal in unseren Praxislook einfügt.

#röntgen #3dröntgen #3dröntgenaufnahme #3dröntgenbild #3dröntgenmodell #3dröntgensystem #3dröntgenverfahren #3dröntgengerät #3dscanverfahren #3dtechnologie #3dhighendsystem #dvtröntgenaufnahmen #revolutionäretechnologie #dcs #dvt #digitalevolumentomographie #digitalervolumentomograph #digitalezahnmedizin #röntgendiagnostik #zukunftsorientiertesröntgen #ordination #zahnarztpraxis  #zahnarzt #zahnärztin #corahallerwaschak #wien #wienwähring #währing


Mehr Informationen unter:
https://www.dieaerztin.at/dvt-digitaler-volumentomograph/

Auszeichnung "BELIEBTER ARZT" von IMWF Austria und dem KURIER

Wir wurden in den erforderlichen Kriterien "Bewertungen und Patientenmeinungen aus Online-Bewertungs- und Internetquellen" so hervorragend bewertet, dass wir uns auch wieder in diesem Jahr zu den "beliebtesten Ärzten in Österreich" zählen dürfen.

Diese herausragende Leistung in den erforderlichen Bereichen sowie unser Engagement für unsere Patienten, wurde mit dem Siegel "BELIEBTER ARZT 2022" ausgezeichnet.

#auszeichnung #imwfaustria #kurier #bewertungen #patientenmeinungen #beliebtesteärzteösterreich #engagement #beliebterarzt2022 #studie #ordination #zahnarztpraxis  #zahnarzt #zahnärztin #corahallerwaschak #wien #wienwähring #währing


Mehr Informationen unter:
https://www.dieaerztin.at/auszeichnungen/

Auszeichnung "BELIEBTER ARZT 2022" von IMWF Austria und dem KURIER

Wir wurden in den erforderlichen Kriterien "Bewertungen und Patientenmeinungen aus Online-Bewertungs- und Internetquellen" so hervorragend bewertet, dass wir uns auch wieder in diesem Jahr zu den "beliebtesten Ärzten in Österreich" zählen dürfen.

Diese herausragende Leistung in den erforderlichen Bereichen sowie unser Engagement für unsere Patienten, wurde mit dem Siegel "BELIEBTER ARZT 2022" ausgezeichnet.

Der KURIER unterstützte die Studie als Medienpartner und veröffentlichte die Ergebnisse sowie eine Liste aller ausgezeichneten Ärzte reichweitenstark und österreichweit als Beilage in der Gesamtausgabe.

Die ausführliche doppelseitige Berichterstattung rund um Wiens beliebteste Ärzte erschien am 28.05.2022. Es war dem KURIER ein Anliegen, die Studie und ihre Ergebnisse und somit uns, als durch die Studie ausgezeichneten Arzt, journalistisch zu präsentieren.


#auszeichnung #imwfaustria #kurier #bewertungen #patientenmeinungen #beliebtesteärzteösterreich #engagement #beliebterarzt2022 #studie #ordination #zahnarztpraxis  #zahnarzt #zahnärztin #corahallerwaschak #wien #wienwähring #währing


Mehr Informationen unter:
https://www.dieaerztin.at/auszeichnungen/

Das 3D-High-End-System für zukunftsorientiertes Röntgen

Mit unserem neuen 3D-Röntgensystem "Orthophos SL 3D" (Digitaler Volumentomograph - DVT) sind wir auf unterschiedlichste Behandlungssituationen bestens vorbereitet.
 
Dank innovativem DCS-Sensor mit Autofokus-Funktion und SL 3D-Technologie deckt der "Orthophos SL 3D" selbst höchste Ansprüche an die 3D-Bildqualität ab und liefert Panoramaaufnahmen in unvergleichlicher Zeichenschärfe.
 
Patienten schätzen besonders das beruhigende Ambient Light, das mit einer Auswahl an über 30 Farben für eine angenehme Atmosphäre in unserem Röntgenraum sorgt und sich optimal in unseren Praxislook einfügt. 
 
In Kombination mit der preisgekrönten Sidexis 4 Software sowie den 3D-Applikationen bietet der "Orthophos SL 3D" eine Vielzahl an innovativen Lösungen für unseren modernen Praxisworkflow.
 
 
#röntgen #3dröntgen #3dröntgenaufnahme #3dröntgenbild #3dröntgenmodell #3dröntgensystem #3dröntgenverfahren #3dröntgengerät #3dscanverfahren #3dtechnologie #3dhighendsystem #dvtröntgenaufnahmen #revolutionäretechnologie #dcs #dvt #digitalevolumentomographie #digitalervolumentomograph #digitalezahnmedizin #röntgendiagnostik #zukunftsorientiertesröntgen #ordination #zahnarztpraxis  #zahnarzt #zahnärztin #corahallerwaschak #wien #wienwähring #währing


Mehr Informationen unter:
https://www.dieaerztin.at/dvt-digitaler-volumentomograph/

Ein weiterer Schritt in die Zukunft der digitalen Zahnmedizin!

Durch den "Intraoral Scanner DL-206" von Launca haben wir uns für den mit Abstand leichtesten, kleinsten, aber auch den leistungsstärksten puderfreien Intraoral Scanner entschieden, der jemals von Launca entwickelt wurde.

Er ermöglicht einen bequemeren Zugang zum Mund des Patienten, ohne die Scan-Effizienz zu beeinträchtigen und bietet so eine hohe Patientenzufriedenheit.

Unser "Intraoral Scanner" ist in der Lage, einen Ein-Bogen-Scan schnell innerhalb von 1 Minute fertigzustellen, was uns als Zahnarzt und unseren Patienten viel Zeit und Energie spart. Somit können wir zukünftig Inlays, Onlays, Veneers, Kronen und Brücken innerhalb einer Sitzung einsetzen.

Der unangenehme Zahnabdruck gehört somit der Vergangenheit an!

Wir freuen uns über einen weiteren Schritt in die Zukunft der digitalen Zahnmedizin.


#intraoralscanner #scanner #launca #innovativ #inlays #onlays #veneers #kronen #bruecken #keinzahnabdruck #zahnabdruck #ordination #patientenzufriedenheit #neuestetechnik #zukunft #vision #digitalezahnmedizin #zahnarzt #corahallerwaschak #zaehne #zahnmedizin #3dtechnologie #patientenkomfort #schoenezaehne #kosmetischezahnheilkunde #prothetik #zahnsanierung #zahnimplantate #wien #wienwaehring


Mehr Informationen unter:
https://www.dieaerztin.at/scan-technologie/

Auch in diesem Jahr wurden wir wieder vom KURIER ausgezeichnet!

Wir wurden in den erforderlichen Kriterien „Bewertungen und Patientenmeinungen aus Online-Bewertungs- und Internetquellen“ so hervorragend bewertet, dass wir uns auch wieder in diesem Jahr zu den „beliebtesten Ärzten in Österreich“ zählen dürfen.

Diese herausragende Leistung in den erforderlichen Bereichen sowie unser Engagement für unsere Patienten, wurde mit dem Siegel „BELIEBTER ARZT 2021“ ausgezeichnet.

Der KURIER unterstützte die Studie als Medienpartner und veröffentlichte die Ergebnisse sowie eine Liste aller ausgezeichneten Ärzte reichweitenstark und österreichweit als Beilage in der Gesamtausgabe.

Die ausführliche doppelseitige Berichterstattung rund um Wiens beliebteste Ärzte erschien am 23.06.2021. Es war dem KURIER ein Anliegen, die Studie und ihre Ergebnisse und somit uns, als durch die Studie ausgezeichneten Arzt, journalistisch zu präsentieren.


#auszeichnung #siegel #studie #kurier #medienpartner #beliebtesteaerzte2021 #beliebterarzt2021 #ausgezeichneteaerzte2021 #reichweitenstark #berichterstattung #imwf #österreich #wien #patientenmeinungen #onlinebewertung #internetquellen #ordination #zahnarzt #angstpatienten #corahallerwaschak #bleaching #zahnersatz #implantate #zahnregulierung #zahnsanierung #bioresonanztherapie #dämmerschlaf #zahnimplantate #akutbehandlungen #barrierefrei


Mehr Informationen unter:
https://www.dieaerztin.at/auszeichnungen

UNSERE KASSENLEISTUNGEN

Ihre Zahnärztin für BVAEB, KFA und SVS und Ihre Wahlärztin für die österreichische Gesundheitskasse (ÖGK)


• 80% der Krankenkassenleistungen werden erstattet – das bedeutet, Sie bezahlen nur 20% der Kassenleistung und wir gehen in Vorkasse.


Bei Fragen stehen wir Ihnen gerne telefonisch zur Verfügung!


Mehr Informationen unter:
https://www.dieaerztin.at/infos

Zahnimplantate - Holen Sie sich Ihr Lächeln zurück!

AUCH SIE KÖNNEN SCHÖNE ZÄHNE HABEN

Wir holen Ihr Lächeln zurück - unsere moderne Technik macht es möglich! Um Ihre fehlenden Zähne zu ersetzen, sind Implantate eine revolutionäre Entwicklung in der Zahnmedizin. Als künstliche Zahnwurzeln bilden sie im Kiefer das Fundament, auf dem später Ihre individuellen Kronen, Brücken oder Zahnersatz verankert werden.

Die richtige Planung, dank präziser 3D-Technologie und die jahrelange Erfahrung unseres Teams garantiert, dass wir für Ihre neuen Zähne die beste Lösung finden - Sie erhalten bei guter Pflege Ihre „Implantate fürs Leben.“

Unser Spezialgebiet sind allergiefreie Zahnimplantate und Bioresonanz. Zur Verbesserung der Akzeptanz und der Einheilung ist der Einsatz von biologischen Methoden wie der „Bioresonanztherapie“ unerlässlich, denn allergiefreier Zahnersatz sollte selbstverständlich sein.


Mehr Informationen unter:
https://www.dieaerztin.at/lp-zahnimplantate/

Angstpatienten - Ohne Angst zum Zahnarzt!

IHR PERSÖNLICHER SIEG – EIN NEUES LÄCHELN

Egal, wie lange Ihr letzter Zahnarztbesuch nun schon zurückliegt - unsere langjährige Erfahrung mit Angstpatienten macht uns zu Ihrer Adresse für ein neues Lächeln.

Wir nutzen modernste verfügbare Technologien, da uns Ihre Sicherheit und Ihr Wohlergehen sehr am Herzen liegen und gehen auf Ihre ganz eigene Geschichte, Bedürfnisse und Wünsche ein.

„Gemeinsam besiegen wir Ihre Angst.”


Mehr Informationen unter:
https://www.dieaerztin.at/lp-angstpatienten/

Dentallabor - So natürlich wie der echte Zahn!

HOHE QUALITÄT UND KURZE WEGE

Wir verfügen in der Ordination über ein eigenes zahntechnisches Dentallabor für optimale Serviceleistungen. So können u. a. zahntechnische Arbeiten (u.a. Kronen, Brücken, Teil- und Vollprothesen, Stiftzähne, Implantate, Kieferorthopädische Geräte, Zahnspangen und Aufbissschienen) direkt vor Ort mit dem Techniker besprochen und angepasst sowie Reparaturen (z. B. von Prothesen) rasch und effizient innerhalb kurzer Zeit (max. ein bis zwei Stunden) durchgeführt werden.

Die Vorteile eines eigenen zahntechnischen Labors im Hause liegen auf der Hand: Zahntechnische Varianten werden direkt vor Ort beim Patienten angepasst, Nuancen in Farbe, Ausführung, Passform und Feinschliff maßgeschneidert abgestimmt.

Hier fertigt unser Zahntechniker hochwertigen Zahnersatz nach neuesten Standards der Zahnmedizin direkt im Haus an. Das Labor ist von der Planung bis zur Fertigstellung Ihres Zahnersatzes mit in den Behandlungsprozess einbezogen. Diese direkte Zusammenarbeit von Zahnarzt, Zahntechniker und Patient ermöglicht ein optimales Ergebnis.


Mehr Informationen unter:
https://www.dieaerztin.at/lp-dentallabor/

Ab sofort wieder einfach und bequem Ihren Termin ONLINE buchen!

Um einen Termin auszuwählen, klicken Sie bitte oben rechts auf „TERMIN AUSWÄHLEN“.

NIE WIEDER EINEN TERMIN VERGESSEN UND STORNOKOSTEN BEZAHLEN

Damit Sie Ihren Termin nicht vergessen, erhalten Sie 1 Tag vor Ihrem gebuchten Termin eine automatische SMS-Erinnerung. Bei Bedarf können Sie auch gerne auf diese antworten und so Ihren Termin noch kostenfrei stornieren.


Mehr Informationen unter:
https://onlinebookingeu.3pointdata.com/v1/view/organization/107/index.html#/perspectives/3

Auch in diesem Jahr - Auszeichnung vom KURIER

Wir wurden in den erforderlichen Kriterien „Bewertungen und Patientenmeinungen aus Online-Bewertungs- und Internetquellen“ so hervorragend bewertet, dass wir uns auch wieder in diesem Jahr zu den „beliebtesten Ärzten in Österreich“ zählen dürfen.

Diese herausragende Leistung in den erforderlichen Bereichen sowie unser Engagement für unsere Patienten, wurde mit dem Siegel „BELIEBTER ARZT 2020“ ausgezeichnet.

Der KURIER unterstützte die Studie als Medienpartner und veröffentlichte die Ergebnisse sowie eine Liste aller ausgezeichneten Ärzte reichweitenstark und österreichweit als Beilage in der Gesamtausgabe.

Die ausführliche doppelseitige Berichterstattung rund um Wiens beliebteste Ärzte erschien am 20.07.2020. Es war dem KURIER ein Anliegen, die Studie und ihre Ergebnisse und somit uns, als durch die Studie ausgezeichneten Arzt, journalistisch zu präsentieren.


Mehr Informationen unter:
https://www.dieaerztin.at/auszeichnungen/

ALLES IST MACHBAR - NICHTS IST UNMÖGLICH

Unsere Zähne sind so individuell wie unser Fingerabdruck. Beim Zahnersatz welcher in unserer Praxis angefertigt wird, erheben wir genau diesen Anspruch. Denn nur ein perfekter Zahnersatz, der genau für Ihre Bedürfnisse konzipiert ist, schenkt Ihnen ein natürliches und perfektes Lächeln. Jeder Mensch kann zum Glück schöne Zähne haben – durch Keramikinlays, Kronen oder Brücken – ein realisierbarer Wunsch!

Jeder Zahn, der erhaltungsfähig ist, sollte nach Möglichkeit auch saniert werden. Müssen jedoch mehrere oder sogar alle Zähne gezogen werden, wird der endgültige Zahnersatz erst eingesetzt, nachdem der Kiefer völlig ausgeheilt ist.

Bis dahin wird eine provisorische Prothese angepasst. Dies ist eine sensible Phase im Leben eines Menschen, der zu einer Vollprothese übergehen und sich erst daran gewöhnen muss. Umso wichtiger sehen wir die Aufgabe an, Ihnen mit Hilfe unserer professionellen Zahntechniker möglichst „echte“ Zähne zu verleihen und Ihnen die Handhabung durch perfekte Passform zu erleichtern.

Der Zahnersatz wird im hauseigenen Dentallabor gefertigt. Über Farbe, Form und Material führen wir selbstverständlich ein ausführliches Gespräch mit Ihnen.

Auch Expressreparaturen führen wir für Sie durch – schnell und mit dem nötigen Know-how.


Mehr Informationen unter:
https://www.dieaerztin.at/zahnersatz

Melissa at WORK

Das Herz am rechten Fleck!

Wir sind mit Einfühlungsvermögen, Leidenschaft und fachlicher Kompetenz für Sie im Einsatz.

Besonderen Wert legen wir auf eine entspannte Atmosphäre in unserer Ordination.

Bei Ihrem Besuch entstehen Ihnen kaum Wartezeiten. Der Zugang zur Ordination ist barrierefrei.


Mehr Informationen unter:
https://www.dieaerztin.at/team

+++ KURZES UPDATE +++

Kurz mal verschnaufen!!!

Wir hoffen doch sehr, Sie alle hatten trotz der Umstände ein schönes OSTERFEST und freuen uns sehr, dass nun wieder ein ganz kleines Stück NORMALITÄT zu uns zurück kommt.

Unsere Ordinationszeiten sind aber nach wie vor eingeschränkt, dafür sind wir jedereit telefonisch für Sie erreichbar.

Vielen Dank für Ihr Verständnis und BLEIBEN SIE GESUND!


Mehr Informationen unter:
https://www.dieaerztin.at/corona-infos

!!! IHRE UND UNSERE GESUNDHEIT IST UNS WICHTIG !!!

Um auch weiterhin unsere Ordination für Notfälle geöffnet zu halten, verfügen wir ab

Montag den 30.03.20 über FFP3-Schutzmasken.

Zum Schutz vor jeglicher Art von Bakterien, Viren ist immer eine Atemschutzmaske der Schutzklasse FFP3 zu verwenden. Nur die Schutzklasse FFP3 filtert sicher und zuverlässig auch kleinste Viren oder andere gefährliche Bakterien aus der Atemluft.

!!!Sie können uns jederzeit auch ausserhalb unserer Ordinationszeiten telefonisch erreichen!!!

Telefon-Nummer: +43 (0) 1 406 82 98 oder weitere Info´s auf unserer Internetseite einsehen.


Mehr Informationen unter:
https://www.dieaerztin.at/coronavirus

Was ist Parodontitis?

Bei einer Parodontitis handelt es sich um eine entzündliche Erkrankung des Zahnhalteapparates, die in erster Linie durch bakteriellen Zahnbelag (Plaque) verursacht wird.

Eine Parodontitis macht sich durch Rötung und Schwellung des Zahnfleisches sowie Zahnfleischbluten bemerkbar. Zudem kann ein unangenehmer Mundgeruch auftreten.

Im Laufe der Erkrankung kommt es zu einem Zahnfleischrückgang und somit zu einer Lockerung der Zähne. In Folge ist auch der Verlust eines Zahnes möglich.

Eine bestehende Parodontitis kann durch eine systemische Parodontitisbehandlung in den meisten Fällen zum Stillstand gebracht werden. Ziel jeder Therapie ist es, die verursachende bakterielle Plaque vollständig zu beseitigen.

Wir stehen Ihnen gerne für ein ausführliches Beratungsgespräch zur Verfügung!


Mehr Informationen unter:
https://www.dieaerztin.at/mundhygiene

+++ Unser neuer Sterilisationsraum +++

Der Steriraum ist einer der wichtigsten Räume in unsere Zahnarztpraxis.

Viele Fragen sich bestimmt, warum steht da "REIN" und "UNREIN"?

Das wichtigste bei der Planung unseres Steriraumes war die strikte Trennung zwischen dem reinen und dem unreinen Bereich. Bei der Einrichtung und Geräteanordnung muss eine Kreuzung dieser Wege ausgeschlossen sein.

Auf der "unreinen" Seite werden die benutzten Instrumente abgestellt, Verbrauchsmaterialien werden getrennt und entsorgt. Nach erfolgter Sterilisation werden die Instrumente im "reinen" Bereich zur Lagerung oder der direkten Weiterverwendung vorbereitet.

Für Fragen stehen wir Ihnen jederzeit gerne zur Verfügung.


HYGIENE ist ein wichtiger Teil unserer ARBEIT!


Mehr Informationen unter:
https://www.dieaerztin.at/360-grad-rundgang

Nutzen Sie das Angebot unserer „Praxis auf Rädern“!

Wir führen Visiten im Pensionistenheim, im Krankenhaus oder bei Ihnen zu Hause durch.

Gerade für ältere Patienten ist es wichtig, sich auf eine rasche und flexible Behandlung bei akuten Problemen mit Prothesen oder bei Schmerzen verlassen zu können.

Wir sind gerne jederzeit für Sie da!

Wenn Sie sich für einen Zahnarzt-Hausbesuch in Wien interessieren, wenden Sie sich an unser Team.

Wir sind telefonisch für Sie erreichbar.


Mehr Informationen unter:
https://www.dieaerztin.at/hausbesuche

Einen Patienten "Frauli & Herrli" glücklich gemacht.

Wir unterstützen ANGSTPATIENT in jeglicher Form.

Einem Patienten die Angst zu nehmen ist unser Spezialgebiet. In diesem Fall hat ein Assistenzhund viel dazu beigetragen. Es ist für uns selbstverständlich, auf die Bedürfnisse unserer Patienten einzugehen.

Wie man sieht, ist es gelungen.

Rufen Sie uns an und wir finden für jedes Problemchen eine Lösung!


Mehr Informationen unter:
https://www.dieaerztin.at/angstpatienten

+++ Ist eine Zahnaufhellung für jeden geeignet? +++

In der heutigen Zeit ist ein strahlendes Lächeln fast schon ein MUSS!

Warum sollte Zahnbleaching nur unter ärztlicher Aufsicht durchgeführt werden?

Eine Zahnaufhellung ist im Grunde bei allen möglich, die sich strahlend helle Zähne wünschen.

Wir können durch eine gründliche Voruntersuchung die Bestimmung Ihrer Zahnfarbe und eine Analyse der Ursachen für Zahnverfärbungen vornehmen. Ausserdem stellen wir fest, mit welchem Grad der Aufhellung Sie in welcher Zeit rechnen können.

Falls wir Erkrankungen der Zähne oder des Zahnfleisches feststellt, werden diese in der Regel erst therapiert, bevor eine Zahnaufhellung durchgeführt wird.


WIR beraten Sie gerne!


Mehr Informationen unter:
https://www.dieaerztin.at/kosmetische-zahnheilkunde

+++ Implantatlösungen für jede Situation +++

Als künstliche Zahnwurzel bietet ein Implantat einen sicheren und dauerhaften Halt für Ihren Zahnersatz, damit Sie wieder unbeschwert essen, reden und lachen können.

Ersatz eines Einzelzahns
Zahnimplantate sind eine ideale Lösung, einen Einzelzahn zu ersetzen, denn gesunde Nachbarzähne müssen nicht abgeschliffen werden, wie es bei der Herstellung herkömmlicher Brücken nötig ist.

…oder mehrerer Zähne
Implantate sind auch eine optimale Lösung, mehrere Zähne zu ersetzen. Eine größere Lücke kann mit mehreren Einzelzahnimplantaten versorgt werden oder mit zwei Implantaten, die eine Brücke tragen.
Weil Implantate Zahnwurzeln ersetzen, ist keine Unterstützung durch gesunde Nachbarzähne
nötig.

…oder aller Zähne
Implantatgetragene Deckprothesen und auf Implantaten fixierte Brücken sind dauerhafte Lösungen. Außerdem sehen sie wie natürliche Zähne aus und funktionieren auch so. Implantate benötigen keine Haftcreme und verursachen keine Druckstellen und Schmerzen, wie sie bei schlecht sitzenden Prothesen vorkommen. Da Implantate den Kieferknochen stimulieren, bildet er sich nicht zurück, und die natürlichen
Gesichtszüge bleiben erhalten.


Mehr Informationen unter:
https://www.dieaerztin.at/zahnimplantate

WIE SEHEN IHRE GUTEN VORSÄTZE IM NEUEN JAHR AUS?

Wollen Sie im neuen Jahr Ihre Zahnarztphobie loswerden?

Endlich wieder gesunde Zähne und ein strahlendes Lächeln?

Wir haben uns auf ANGSTPATIENTEN spezialisiert und wollen es jedem Patienten so angenehm wie möglich machen.

Daher bieten wir exklusiv die weltweit sicherste zahnärztliche Beruhigungsmethode für Kinder und Erwachsene an.

Der erste Schritt liegt bei IHNEN! Rufen Sie uns an und wir erklären Ihnen alles in RUHE und mit viel Emphatie.

Herzlichst

Dr. Cora Haller-Waschak und Team


Mehr Informationen unter:
https://www.dieaerztin.at/angstpatienten

*** HILFE bei meinem KIND verfärben sich die ZÄHNE ***

Die meisten Zahnverfärbungen treten bei den bleibenden Zähnen auf. Vereinzelt gibt es auch Zahnverfärbungen an den Milchzähnen.

Schon mal was von Dentalfluorose gehört?

Die Verfärbung zeichnet sich durch eine weiß opake bis gelb-braune Farbe aus und entsteht durch eine übermäßige Zufuhr von Fluorid. Es kommt zu einer Mindermineralisation des Zahnschmelzes schon bei nicht vollständig durchgebrochenen Zähnen. Man erkennt sie durch kalkweiße Schmelzflecken. Daher sollte man darauf achten, Kindern nicht zu viel Fluorid zu geben. Kinder nehmen genug Fluorid über Trinkwasser, Mineralwasser, fluoridiertes Speisesalz sowie über die herkömmliche handelsübliche Kinderzahnpasta auf.

Fluoridtabletten sind nicht zusätzlich nötig.

Eine weitere interne Verfärbung kann durch bestimmte Antibiotika entstehen, wie Tetrazyklin. Es entstehen gelb- braune bis gräuliche Verfärbungen, oftmals streifenförmig, bei Kindern unter dem 8. Lebensjahr.

Schmelz- oder Dentinbildungsfehler genauso aber können auch Traumata zu Verfärbungen der Zähne führen.

Kommen Sie mit Ihrem Kind in unsere Ordination, wir beraten Sie gerne!

Herzlichst Dr. Cora Haller-Waschak

 

Bildquelle: Wikipedia


Mehr Informationen unter:
https://www.dieaerztin.at/kinderzahnarzt

***NEU*** CRANIOSACRALE Therapie als Symbiose zur Zahnmedizin ***NEU***

*** NEU BEI UNS IN DER ORDINATION ***

Die Craniosacrale Therapie ist eine Form der Osteopathie.

Techniken der Craniosacraltherapie könne das Kiefergelenk in die korrekte anatomische Position bringen um so muskuläre Dysfunktionen und Schmerzen zu reduzieren.

Wobei hilft die Craniosacrale Therapie in der Zahnmedizin?
Beim Zähneknirschen, Kieferproblemen, vor und nach zahnmedizinischen Eingriffen sowie bei kieferorthopädischen Eingriffen und Regulierungen. Bewährt hat sich die Behandlung ebenfalls bei Rücken- und Kreuzschmerzen sowie bei Ohrensausen, bei Migräne und Schlafstörungen.
Da die Knochen unseres Gaumens in unserem Schädel eine zentrale Position haben und gleichzeitig die Hirnanhangdrüse mit dem tragenden Keilbein verbunden ist, kann dessen minimale Bewegung (Verschiebung) unerwünschte Folgen haben.
Durch die Behandlung mittels einer Craniosacralen Therapie können die im Zahnhalteapparat befindlichen Blockaden vollkommen schmerzfrei – in optimalen Fällen mit ein oder zwei Behandlungen - aufgelöst werden.
 
Die Craniosacrale Therapie wird auch in unserer Ordination angeboten.

Für Fragen stehen wir Ihnen jederzeit gerne zur Verfügung.

 


Mehr Informationen unter:
https://www.dieaerztin.at/craniosacrale-therapie

*** Amalgam entfernen lassen - Quecksilber ausleiten? ***

DAS VERSTECKTE GIFT IM KÖRPER!

Ich werde immer wieder gefragt, soll man "Amalgam entfernen lassen, Quecksilber ausleiten?"

Zahnfüllungen aus Amalgam bestehen zu 50 Prozent aus giftigem Quecksilber.

Es gibt kaum eine Krankheit, die von Quecksilber nicht ausgelöst oder verstärkt werden könnte. Die Entfernung des Amalgams ist folglich eine dringend notwendige Massnahme für alle, die bereits Gesundheitsbeschwerden haben, aber auch für alle, die für die Zukunft keinen Wert auf die Folgen einer chronischen Quecksilbervergiftung legen.

Wie eine ordnungsgemässe Entfernung von Amalgam und eine anschliessende Quecksilberausleitung aussehen können, erfahren Sie in meiner Ordination.

Bildquelle: © istocktphoto.com/Jozsef


Mehr Informationen unter:
https://www.zentrum-der-gesundheit.de/amalgam-entfernen-ia.html#toc-die-entfernung-von-amalgamfullungen

SCHNULLER oder DAUMENLUTSCHEN?

Der richtige Schnuller ist allemal besser als der Daumen, da dieser hart und nicht "kiefergerecht" geformt ist.

Lutschen Kinder am Daumen, können Fehlbildungen am Kiefer und Zahnfehlstellungen entstehen, die nur sehr aufwendig und langwierig zu regulieren sind, sich negativ auf die Aussprache auswirken und manchmal das Abbeißen unmöglich machen.

Das weiche Material und seine optimal angepasste Form des Schnullers sollen diese Risiken minimieren.

Das Bild spricht für sich!

Wir beraten Sie gerne in unserer Ordination.

 

Bildquelle: https://wiley-vch.e-bookshelf.de/products/reading-epub/product-id/4058460/title/Open-Bite%2BMalocclusion.html?lang=dt


Mehr Informationen unter:
https://www.dieaerztin.at/kinderzahnarzt

...schon gewusst?

Seit 1. Juli 2018 ist Mundhygiene für Kinder und Jugendliche von 10 - 18 Jahren eine Kassenleistung!

Wir finden das mehr als TOP!!!

FÜR FRAGEN STEHEN WIR JEDERZEIT GERNE ZUR VERFÜGUNG!


Mehr Informationen unter:
https://www.dieaerztin.at/mundhygiene

Ihr Kind hat Angst vorm Zahnarzt? - das muss nicht sein!

 

  • Persönliches Kennenlernen, um Vertrauen aufzubauen

  • Wir verwenden keine unangenehmen Gerüche (z. B. Desinfektionsgerüche)

  • Wir bringen den Zahnarztbesuch Ihrem Kind spielerisch näher und abschließend erinnert ein kleines Geschenk, wie schön es beim Zahnarzt sein kann


Mehr Informationen unter:
https://www.dieaerztin.at/kinderzahnarzt

Zahnweh? - muss doch nicht sein!

  • 2 x täglich Zähne putzen je 3 Minuten - die Zeitmessung (Handy, Sanduhr) dabei ist sehr wichtig
  • 2 x im Jahr eine professionelle Mundhygiene (Kontrolle, Instruktion, Putztechnik) durchführen lassen
  • Wenn möglich Zahnseide verwenden, um Karies und damit verbundene Schmerzen zu vermeiden

…das sollten Sie wissen:

  • Keine Schmerzen - keine Entwicklung der Zahnarztangst
  • Besseres Vertrauen zum Zahnarzt - durch kürzere Behandlungszeit
  • Nur geringe Zahnkorrekturen - somit gehen Sie lieber und regelmässiger zum Zahnarzt


Ihre Gesundheit ist uns wichtig! - probieren Sie es aus und Sie werden begeistert sein! :-)


Mehr Informationen unter:
https://www.dieaerztin.at/angstpatienten

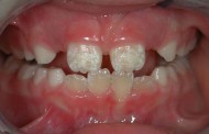
Überzeugen Sie sich durch unser VORHER - NACHHER - FOTO

Ich bin Ihre Spezialistin für festsitzende Zahnspangen in Wien. Dank der modernen Kieferorthopädie sind kosmetische, fast unsichtbare Zahnkorrekturen möglich. Gerne begleiten wir Sie auf Ihrem Weg zu gesunden und schönen Zähnen.

Die Behandlung von Zahnfehlstellungen mit festsitzenden Zahnspangen reduziert die Kauproblematik und lindert Kieferschmerzen. Vor allem im Bereich der Zahnsanierung erzielen wir in unserer Praxis in Wien, im Zusammenspiel mit der Bioresonanztherapie, exzellente Ergebnisse.

Vereinbaren Sie noch heute einen Beratungstermin.

 


Mehr Informationen unter:
https://www.dieaerztin.at/zahnspangen

ANGSTFREI beim Zahnarzt durch LACHGAS!

Wir bieten Ihnen exklusiv die weltweit sicherste zahnärztliche Beruhigungsmethode für Kinder und Erwachsene.

Lachgas wird seit 150 Jahren erfolgreich in der Dentalmedizin zur Patientenberuhigung eingesetzt. Es ist das sicherste, meist erforschte und älteste zahnärztliche Sedativum.

Sprechen Sie uns an, wir beraten Sie gerne!


Mehr Informationen unter:
https://www.dieaerztin.at/angstpatienten

Wir informieren SIE auch über SOCIAL-MEDIA

Folgen Sie uns auf unseren SOCIAL-MEDIA-KANÄLEN und seien Sie immer auf dem Laufenden.

Ob zu Hause oder unterwegs - wir informieren Sie zeitgemäß über aktuelle Angebote, Lösungen, Produkte und viele weitere Themen rund um unsere Ordination.

Über unsere Social Icons, welche Sie im unteren Bereich auf unserer Internetseite finden, kommen Sie ganz einfach zu Ihrem gewünschten Social-Media-Kanal.

IHRE ZUFRIEDENHEIT IST UNS WICHTIG!

 


Mehr Informationen unter:
http://www.dieaerztin.at

Moderne Kieferorthopädie in Wien – Wir schenken Ihnen ein gesundes und charmantes Lächeln

Kiefer- und Zahnfehlstellungen können Auslöser für medizinische und ästhetische Probleme werden und somit starke körperliche sowie psychische Belastung hervorrufen. In unserer Zahnarztpraxis und Praxis für Kieferorthopädie in Wien stehen wir Ihnen mit modernen Behandlungsmethoden und einem eigenen Dentallabor zur Verfügung. So können wir zuverlässige, aber auch flexible Leistungen aus einer Hand anbieten, wie zum Beispiel bei:

  • Zahnregulierungen
  • der Erstellung von abnehmbaren oder festsitzenden kieferorthopädischen Geräten, wie Zahnspangen
  • und vielem mehr


Mehr Informationen unter:
http://www.dieaerztin.at